before_case_1
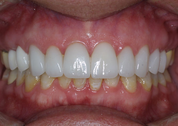
after_case_1